in cold weather.......في موسم الامراض.....................
التهاب السحايا أو الحمى الشوكية باللاتينية:(( Meningitis)
english & arabic
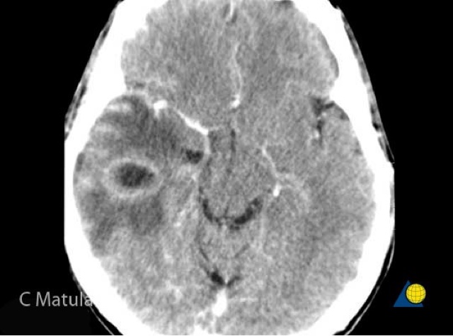
، هو التهاب حاد للأغشية الدماغية المغلفة للدماغ والنخاع الشوكي، المعروفة باسم السحايا. تتعدّد أسباب الالتهاب وتشمل العدوى عن طريق الفيروسات، أو البكتيريا، أو غيرها من الكائنات الدقيقة، وأقل شيوعًا عن طريق بعض الأدوية.
قد يكون التهاب السحايا مهدّدًا للحياة بسبب قربه من الدماغ والنخاع الشوكي؛ من هنا، يُصنّف التهاب السحايا كحالة طبية طارئة.
الأعراض الأكثر شيوعًا لالتهاب السحايا هي الصداعوتيبُّس العنق المرتبط بالحمى، والارتباك أو تغيُّر حالة الوعي، والتقيُّؤ، وعدم القدرة على تحمل الضوء (رُهاب الضوء) أو الضجة الصاخبة (رُهاب الصوت). أما لدى الأطفال فغالبًا ما تظهر فقط أعراض غير خاصة، مثل التهيُّج والنعاس. إذا تواجد طفح، فيشير ذلك إلى مسبّب معيّن لالتهاب السحايا؛ على سبيل المثال، التهاب السحايا الناجم عن البكتيريا المُكوّرة قد يكون مصحوبًا بطفح جلديّ مميّز.
يشخّص البزل القطني التهاب السحايا أو ينفيه. تُدخل إبرة إلى القناة النخاعية لاستخراج عيّنة من السائل النخاعي (CSF)، الذي يحيط الدماغ والنخاع الشوكي. يُفحص السائل النخاعي في مختبر طبي.يشمل العلاج الأول لالتهاب السحايا الحاد علاج سريع بالمضادات الحيوية وفي بعض الأحيان مضادات الفيروسات. تستخدم كذلك الكورتيكوستيرويدات لمنع حدوث مضاعفات الالتهاب المفرط.
قد يؤدي التهاب السحايا إلى عواقب وخيمة طويلة الأمد مثل الصمم، والصرع، واستسقاء الرأس ونقيصة معرفية، خاصةً إن لم يتم علاجه بسرعة.
يمكن الوقاية ومنع بعض أشكال التهاب السحايا (مثل تلك المتعلّقة بالمكوّرات السحائية، والمستدمية النزلية نوع ب، والمكوّرات الرئوية أو فيروس النكاف) عن طريق التطعيم.
أدى التهاب السحايا إلى 303 ألف حالة وفاة سنة 2013 - انخفاضًا نسبة لسنة 1990حيث أدى حينها إلى 464 ألف حالة وفاة.
وقاية الطفل :
الوقاية من التهاب السحايا
عدة أمور قد تقلل من احتمال الاصابة بالتهاب السحايا وتساعد على الوقاية:
· التطعيمات: عدة تطعيمات يتلقاها الطفل خلال فترة طفولته تقي من التهاب السحايا، وخاصةً الجرثومي.
· المضادات الحيوية: تناول المضادات الحيوية للوقاية من التهاب السحايا الجرثومي هو أمر يُنصح به لمن كان على اتصال بطفل أو أو شخص مصاب بالتهاب السحايا الجرثومي، وتحديداً بجرثومة المكورة السحائية (Meningococc). لذا يقوم أفراد عائلة المريض، أصدقائه وكل من كان على اتصال جسدي به خلال الأسبوع السابق للأعراض، بتناول المضادات الحيوية للوقاية من التهاب السحايا الجرثومي.
· الحفاظ على النظافة والوقاية من انتقال العدوى، وذلك من خلال غسل اليدين قبل وبعد لمس الطفل، عدم تقبيل الطفل، تغطية فم الطفل خلال السعال. يجب اتباع هذه التعليمات حتى انتهاء الأعراض لدى الطفل.
كيف أعرف أن طفلي مصاب بالتهاب في الأذن؟
ليس من السهل معرفة إذا كان طفلك مصاباً بالتهاب، لكن إذا كان مصاباً بالزكام ثم ارتفعت درجة حرارته بعد مرور ثلاثة إلى خمسة أيام، فقد يكون السبب التهاباً في الأذن. في مثل هذه الحالة، ربما يشد الطفل الأذن التي تؤلمه أو يبدو عليه الانزعاج. لو طفلك بدأ بالمشي، ربما يواجه مشاكل في التوازن فيختل توازنه أكثر من المعتاد.
ربما يجد طفلك صعوبة في الرضاعة أو البلع. وقد يبتعد طفلك عن ثديك أو عن زجاجة الحليب (الرضاعة أو الببرونة) مباشرة بعد البدء بالرضاعة وتبدو عليه علامات الألم.
هل من الشائع إصابة الأطفال بالتهاب الأذن؟
يكثر التهاب الأذن عادة لدى الأطفال الرضع والصغار في السن، وخاصة في فصل الشتاء.
ما الذي يسبب التهاب الأذن لدى طفلي؟
يُحتمل أن تنتفخ الأذن الوسطى عندما يصاب طفلك بنزلة البرد أو الزكام. يؤدي هذا الانتفاخ إلى تجمع الإفرازات داخل الأذن، ما يخلق بيئة مناسبة من حيث الحرارة والرطوبة لنمو وانتشار أية بكتيريا أو فيروس.
عند الالتهاب، يتكون صديد يضغط على طبلة الأذن فتنتفخ وتلتهب. حينها، قد يصاب طفلك بارتفاع في الحرارة لأن جسمه يبدأ بمحاربة الالتهاب. يعرف هذا النوع من التهاب الإذن بالتهاب الأذن الوسطى الحاد.
من الأسباب التي قد تؤدي إلى إصابة طفلك بالتهاب قصر القناة السمعية ووضعيتها الأفقية لأنها ما زالت في مرحلة نمو. عندما يكبر طفلك، تصبح القناة أطول ثلاثة أضعاف، فتصل إلى 1.25 و 3.8 سنتيمتراً، كما تميل إلى الوضعية العمودية أكثر، ما يقلل احتمال حدوث الالتهاب.
كيف أعالج طفلي من التهاب الأذن؟
خذي طفلك إلى الطبيب إذا كنت تعتقدين أنه مصاب بالتهاب في الأذن. تتحسن العديد من التهابات الأذن تلقائياً من دون أي تدخل، لكن قد تنصحك طبيبتك باستخدام المضادات الحيوية. ينبغي أن تبدأ أذن طفلك بالتحسن خلال ثلاثة أو أربعة أيام، مع أو بدون استخدام المضادات الحيوية.
كما يمكنك أيضاً إعطاء طفلك الباراسيتامول الخاص بالأطفال الرضع إذا كان عمره ثلاثة أشهر أو أكثر. سيقلل هذا الإجراء الألم وارتفاع الحرارة. ويمكنك إعطاؤه العديد من الرضعات الطبيعية لإبقاء جسمه رطباً. إذا كان طفلك يرضع حليباً اصطناعياً أو يتناول الأطعمة الصلبة، فيمكنك إعطاؤه كميات إضافية من الماء.
لمزيد من المعلومات، اقرئي مقالتنا عن علاج التهابات الأذن.
لماذا يسيل صديد من قناة أذن طفلي السمعية؟
يدل سيلان صديد أو سائل أصفر اللون ممزوج بالدم من أذن طفلك على بداية حدوث ثقب صغير في طبلة الأذن، وعادة ما يلتئم تلقائياً خلال أسبوعين تقريباً، لكن من الأفضل أن تستشيري طبيبتك.
ماذا أفعل ما لم تتحسن أذن طفلي؟
إذا لم يتحسن التهاب أذن طفلك بعد أربعة أيام، مع أو بدون علاج بالمضادات الحيوية، فاطلبي من طبيبتك أن تفحص أذنه. يُحتمل أن يكون طفلك مصاباً بالتهاب شديد في الأذن قد يؤدي إلى إحداث ثقب في الطبلة وسيلان في القناة السمعية. في بعض الأحيان، تؤدي هذه الحالة إلى مشاكل في السمع كالإصابة بصمم جزئي لا سمح الله.
يمكن أن تؤدي إصابة طفلك بالتهابات الأذن المتكررة إلى فقدان حاسة السمع وقد تترك ندوباً داخل أذنه. وبالرغم من أنها حالات نادرة، فمن الهام جداً معالجة طفلك من التهابات الأذن البسيطة حتى لا تتطور إلى التهابات خطيرة.
ما أفعل لكي أقي طفلي من التهاب الأذن؟
هناك بعض الأمور التي يمكنك القيام بها لتجنبي طفلك الإصابة بالتهاب في الأذن:
أجلسي طفلك وأنت ترضعينه بدل حمله وهو مستلق على ظهره.
حاولي إرضاع طفلك رضاعة طبيعية. إن حليب (لبن) الأم مليء بالأجسام المضادة التي قد تساعده على محاربة الالتهاب.
إذا كان طفلك يستخدم لهاية (مصاصة أو بزازة)، فلا تعطيه إياها إلا عند النوم.
لا تدخني أو تسمحي لأي شخص آخر بالتدخين في مكان تواجد طفلك.
إذا أمكن، حاولي عدم وضع طفلك في الحضانة قبل بلوغه العام الأول. عندما يذهب إلى الحضانة، يتعرض أكثر للإصابة بالسعال ونزلات البرد، والتي يمكن أن تؤدي إلى الإصابة بالتهاب الأذن.
Meningitis or meningitis in Latin: Meningitis)
, It is an acute inflammation of the brain membranes coated the brain and spinal cord, known as meningitis. There are several reasons, including inflammation and infection by viruses or bacteria, or other microorganisms, and less commonly by certain drugs.
Meningitis may be life-threatening because of its proximity to the brain and spinal cord; from here, is classified as a case of meningitis medical emergency.
The most common symptoms of meningitis are Alsaddaautebs neck associated with fever, confusion or change state of consciousness, vomiting, and an inability to tolerate light (photophobia) or loud uproar (phobia sound). The children often show only the symptoms are not specific, such as irritability and drowsiness. If the presence of rash, it refers to a particular cause of meningitis; for instance, meningitis caused by meningococcal bacteria may be accompanied by a characteristic rash.
Diagnose meningitis lumbar puncture or deny. A needle inserted into the spinal canal to extract a sample of cerebrospinal fluid (CSF), which surrounds the brain and spinal cord. Examines the cerebrospinal fluid in the laboratory Taba.eshml first treatment for acute meningitis fast treatment with antibiotics and in some cases antivirals. Corticosteroids are also used to prevent complications of excessive inflammation.
Meningitis can lead to long-term consequences such as deafness, epilepsy, hydrocephalus and cognitive defect, especially if not treated quickly.
It can be prevented and prevent some forms of meningitis (such as those related to meningococcal, and Haemophilus influenzae type b, and pneumococci or mumps virus) through vaccination.
Meningitis led to 303 thousand deaths in 2013 - a reduction ratio for the year 1990 as the time led to 464 thousand deaths.
Child protection:
Prevention of meningitis
Several things may reduce the risk of meningitis and help prevent:
· Vaccinations: several vaccinations the child received during the period of his childhood protect against meningitis, especially bacterial.
· Antibiotics: antibiotics for the prevention of bacterial meningitis is recommended for those who had been in contact or a child or a person with bacterial meningitis, specifically the meningococcus germ (Meningococc). So the members of the patient's family, his friends and all those who had contact with him on my body during the week preceding the symptoms, to take antibiotics for the prevention of bacterial meningitis.
· Maintaining hygiene and the prevention of transmission, through the wash your hands before and after touching the child, not to kiss the baby, cover the baby's mouth during coughing. You must follow these instructions until the end of the child's symptoms.
How do I know that my child has an ear infection?
Not easy to know if your child has inflammation, but if it is infected with a cold temperature then rose after the passage of three to five days, it may be the cause inflammation in the ear. In such a case, the child may pull the ear which it seems to hurt him or discomfort. If your child started walking, may face balance problems impeding the balance more than usual.
Your child may have difficulty in feeding or swallowing. Your child has been away from your breast or a bottle of milk (breast or the bottle) immediately after the start feeding and they look like signs of pain.
Is it common for children injured ear infection?
Frequent ear infections are very common in infants and young in age, especially in winter.
What causes my child's ear infection?
It is likely to swell the middle ear when your child caught a cold or flu infected. This leads to swelling inside the ear secretions gathering, creating suitable in terms of temperature and humidity for the growth and spread of any bacteria or virus environment.
When inflammation, pus presses on the eardrum causes it to bulge and become inflamed composed. Then, you may get your child up in the heat because his body to fight the infection. This type of otitis acute otitis known.
Of the reasons that may lead to child injury inflammation of the ear canal Palace and horizontal predicament because it is still in the growth phase. When your child grows up, the channel, becoming the longest three times, is up to 1.25 and 3.8 centimeters, also tend to a more vertical position reduces the likelihood of inflammation.
How do I treat my child from an ear infection?
Take your child to the doctor if you think that he has an ear infection. Many ear infections get better automatically without any intervention, but your doctor may advise you to use antibiotics. Your child should be authorized to start improvement within three or four days, with or without the use of antibiotics.
You can also give your child paracetamol infant children if he was three months or more. This procedure will reduce pain and fever. And you can give him many natural feeds to keep his body hydrated. If your baby suckles milk artificially or eating solids, you can give it additional water.
For more information, Read our article about the treatment of ear infections.
Why dripped pus from my child's authorized channel audio?
Ceylon shows pus or yellow color liquid mixed with the blood of your child's ear at the beginning of the occurrence of a small hole in the eardrum, usually heal by itself in about two weeks, but it is best to consult a doctor.
What do I do unless authorized improve my child?
If you do not improve your child's ear infection after four days, with or without treatment with antibiotics, Vatalba from doctor to examine his ear. Is likely to be your child has a severe infection in the ear may lead to the creation of a hole in the eardrum and flood the ear canal. Sometimes, this case lead to hearing problems Kalasabh partial deafness, God forbid.
Can result in your child's ear infections recurring injury to hearing loss and may leave scars inside his ear. Although it is rare, it is very important to your child's treatment of minor ear infections do not even develop into serious infections.
What I do to my child protective of ear infection?
There are some things that you can take your child to avoid infection in the ear:
Sit your child and you Breastfed instead of carrying a reclining on the back.
Try feeding your baby breast-fed. The milk (milk) is full of anti mother objects that may help him to fight inflammation.
If your child uses a soother (pacifier or Bzazh), but do not give it to them at bedtime.
Do not allow your smoking or anyone else to smoke in your child's whereabouts.
If possible, try not to put your baby in the nursery before reaching the first year. When he goes to the nursery, more exposed to infection coughs and colds, which can lead to ear infection.
Dr saif








No comments:
Post a Comment